超声在黄素瘤临床上的表现 |
|
时间:2025-07-24 14:09:42
|
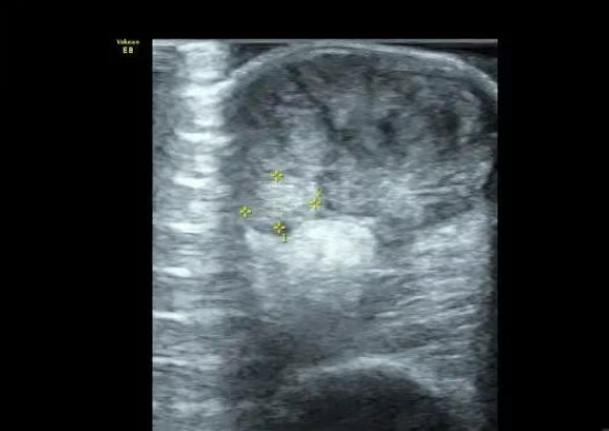
患者女,45岁。因现双侧跟腱肿物多年,2年前手术切除,病理诊断黄色瘤,目前术后复发来就诊。肉眼可见跟腱不均匀增粗,双侧髌腱、双手伸肌腱等多处结节状病变。 超声表现:上述肌腱内低回声包块,呈对称性生长,边界不清,形态欠规则,内部回声不均,以跟腱最为明显,正常跟腱可见,呈偏心性,与周围团块有一定分界,但分界欠清晰,CDFI:内未见明显血流信号。结合病史考虑腱黄色瘤。
腱黄色瘤也叫黄素瘤,是指脂肪组织沉积在皮肤和肌腱内的一些富含脂肪的结节或丘疹,外观呈橙黄色,故称黄色瘤,是一种罕见的良性肿瘤,可发生于人体各个部位,但最常发生在跟腱、肘关节、膝关节、指间关节等伸肌腱处。也可发生在皮肤真皮层,导致皮肤损害形成结节或丘疹,皮损好发于关节伸侧皮肤如肘、膝;还可发生在臀部、眼睑等部位,称皮肤黄色瘤。 黄色瘤的发病机制还不是完全清楚,发病原因主要是与原发性(家族性)或继发性高脂血症有关。 主要包括以下几个发病类型: 1、原发性黄色瘤:分为先天性遗传性和非先天性遗传性。先天性遗传性多有高脂蛋白血症史或脂蛋白代谢水平异常等症状(后面重点介绍)。而非先天性黄色瘤多于饮食,生活习惯,药物因素等有关。 2、继发性黄色瘤:多继发于一些慢性代谢性疾病,如糖尿病、甲状腺功能减退者、动脉粥样硬化等。该类患者大多数有甘油三酯,胆固醇和脂蛋白水平的升高。 3、血脂正常性黄色瘤:该型发病时间较早,多发于10岁以下儿童。如幼年性黄色瘤、播散性黄色瘤、血脂正常性黄色瘤等。还有部分多与物理性或化学性刺激有关。考虑其原因可能与刺激因素和自身反复动作刺激局部组织增殖,脂蛋白和胆固醇被组织细胞吞噬所致。该类患者血脂未见明显异常,也归为血脂正常性黄色瘤。 病理:腱黄色瘤病理特点为含脂质的巨噬细胞、炎性细胞和增生的胶原纤维形成黄色瘤样组织。 临床表现:肌腱黄色瘤好发于跟腱、肘关节、膝关节及指间关节等关节的伸肌腱部位无痛性包块,以跟腱最为常见。早期轻者表现为跟腱的增厚,呈梭形增粗。跟腱病变常委双侧性和对称性,多累及跟骨的附着处,极少部分可引起跟腱的断裂。 超声表现:超声检查是诊断跟腱黄色瘤的首选。较轻的病例表现为跟腱的增厚,在男性跟腱前后径>7mm,女性中跟腱的厚度>6mm,同时在跟腱内可见多发性在灶状低回声病灶。严重的病例可在跟腱内出现较大的低回声包块,包块内部回声不均,通常伴有不规则的衰减。 鉴别诊断:1、痛风;2、慢性肌腱变性;3、肌腱炎;4、感染;5、肿瘤。 治疗:目的为改善功能及外观,减轻患者局部疼痛。对于无症状者是否手术干预存在争议。但是,当患者存在局部疼痛或者踝关节功能障碍并且影响日常生活时,应考虑手术治疗。
即刻关注凯信微信号xzkxele,就能查看更多关于兽用B超、宠物彩超的详情。(只需在公众号里搜“凯信超声”或扫描下方的二维码就可以加关注!)如需咨询报价信息,可联系客服热线15050003098 400-928-6626. |


















全国咨询热线:15050003098(微信同号)
邮箱:kaixin@kxele.com
地址:徐州市经济开发区C区01号 凯信大厦

苏公网安备 32030002001190号